Skip to content
Click Here
0794-73-8630
月・火・木・金 11:00-20:00 土曜日 9:00-13:00 休診日 水・日祝
小野市 肩こり 腰痛 骨盤矯正|整体・鍼灸治療ならこころ鍼灸整骨院
Primary Navigation Menu
Menu
  • HOME
  • 院長プロフィール
    • 院長ブログ
  • 初めての方へ
    • 当院は完全予約制です
    • 治療費
  • こころ鍼灸整骨院の治療
    • モーションパルペーション
    • 整体治療
    • 鍼灸治療
    • リンパドレナージュ
    • 肩こりの治療
    • 腰痛の治療
    • ぎっくり腰の治療
  • 診療時間・アクセス
  • ご予約はこちら
    • インターネット予約
  • よくあるご質問
  • BLOG

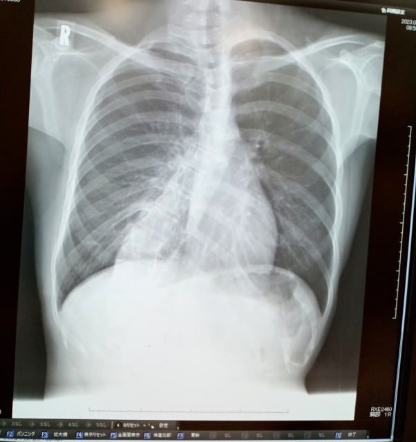
子供の側弯症:手術以外の選択肢と治し方 » 側弯症 背骨 レントゲン

続きをみる >>

2025-10-20

インターネット予約24時間受付中

Web予約はこちら

こころ鍼灸整骨院

兵庫県小野市中町278-3ひかりハイツ101
0794-73-8630

公式LINEアカウント

友だち追加

受付時間

月・火・木・金
11:00-20:00
土曜日
9:00-13:00
休診日
水・日祝

公式Facebookページ

小野市 こころ鍼灸整骨院

公式X(旧Twitter)

Tweets by onokokoro2013

© 2025 こころ鍼灸整骨院